Knahr K, Pospischill M Künstlicher Hüftgelenksersatz heute - hohe Ansprüche an Material und Funktion Journal für Mineralstoffwechsel & Muskuloskelettale Erkrankungen 2004; 11 (1): 22-26 Volltext (PDF) Summary Übersicht | ||||||||||
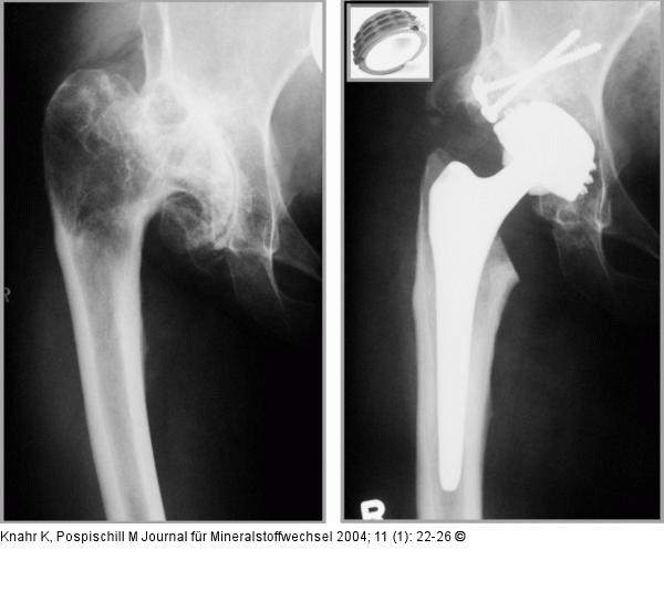
Abbildung 5: Hüftgelenk Implantation einer hochvernetzten Polyäthylen-Metall-Gleitpaarung bei 55jähriger Patientin mit hochgradiger Dysplasiecoxarthrose |
Abbildung 5: Hüftgelenk
Implantation einer hochvernetzten Polyäthylen-Metall-Gleitpaarung bei 55jähriger Patientin mit hochgradiger Dysplasiecoxarthrose |
