Wallner H Perkutane Intervention einer Typ-A-Läsion einer dominanten rechten Kranzarterie Journal für Kardiologie - Austrian Journal of Cardiology 2005; 12 (9-10): 253 Volltext (PDF) Fallbeschreibung Übersicht
| ||||||||||||||||
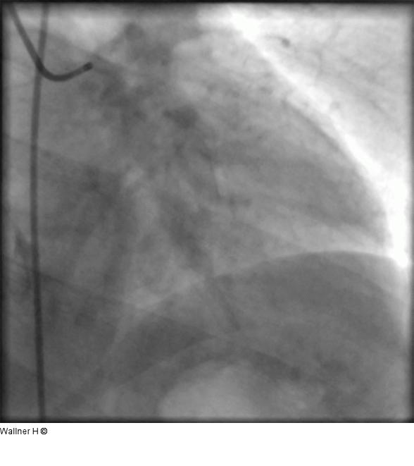
Abbildung 1: Koronarangiographie Linkes Kranzgefäß (LAO 30°/20°). Unauffälliger Hauptstamm und LAD mit Diagonalästen, proximaler Verschluß der Arteria circumflexa. |
Film starten
Abbildung 1: Koronarangiographie
Linkes Kranzgefäß (LAO 30°/20°). Unauffälliger Hauptstamm und LAD mit Diagonalästen, proximaler Verschluß der Arteria circumflexa. |
