Wallner H Perkutane Intervention einer Typ-A-Läsion einer dominanten rechten Kranzarterie Journal für Kardiologie - Austrian Journal of Cardiology 2005; 12 (9-10): 253 Volltext (PDF) Fallbeschreibung Übersicht
| ||||||||||||||||||
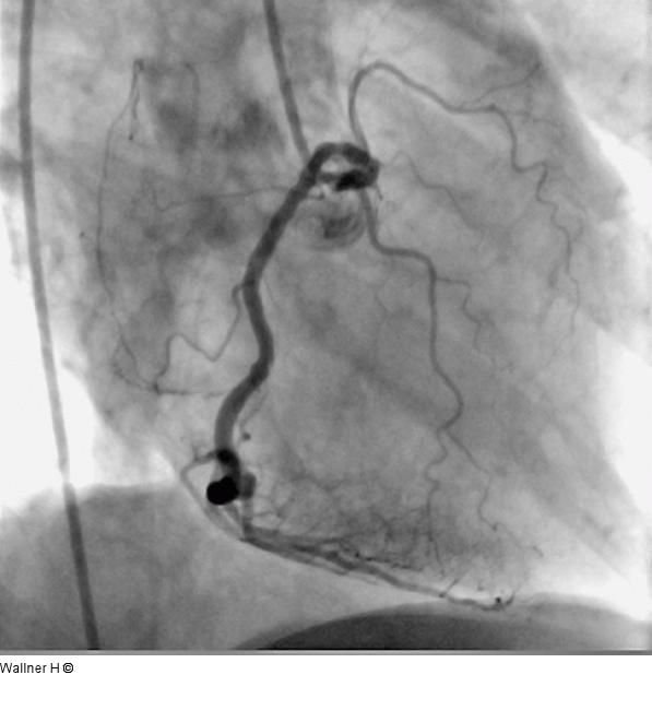
Abbildung 8: Perkutane koronare Intervention Rotationsangiographie |
Film starten
Abbildung 8: Perkutane koronare Intervention
Rotationsangiographie |
