Spendel MC Die operative Behandlung der Trigeminusneuralgie und anderer vaskulärer Hirnnerven-Kompressionssyndrome Journal für Neurologie, Neurochirurgie und Psychiatrie 2006; 7 (1): 11-22 Volltext (PDF) Summary Übersicht | ||||||||||||||||
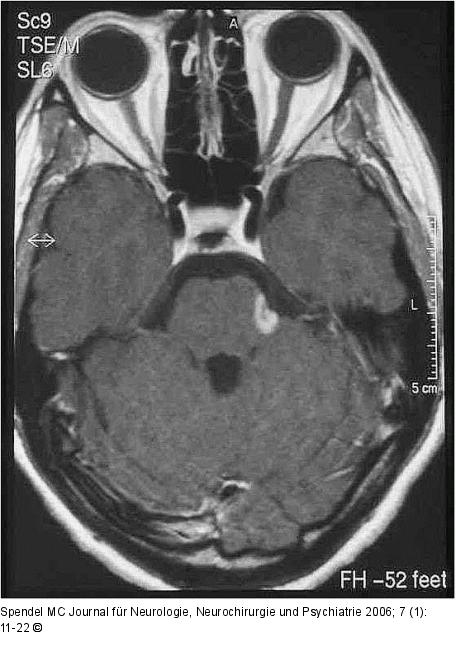
Abbildung 1: Enzephalitischer Plaque - Nervus trigeminus MRT mit enzephalitischer Plaque in der Eintrittszone des Nervus trigeminus links. |
Abbildung 1: Enzephalitischer Plaque - Nervus trigeminus
MRT mit enzephalitischer Plaque in der Eintrittszone des Nervus trigeminus links. |
