Krause und Pachernegg
Verlag für Medizin und Wirtschaft
Artikel   Bilder   Volltext

Mobile Version
A-  |   A  |   A+
Werbung
 
Abbildungen und Graphiken
Spendel MC  
Die operative Behandlung der Trigeminusneuralgie und anderer vaskulärer Hirnnerven-Kompressionssyndrome

Journal für Neurologie, Neurochirurgie und Psychiatrie 2006; 7 (1): 11-22

Volltext (PDF)    Summary    Abbildungen   


Abbildung
 
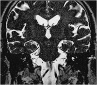
Enzephalitischer Plaque - Nervus trigeminus
Abbildung 1: MRT mit enzephalitischer Plaque in der Eintrittszone des Nervus trigeminus links.


Keywords: Enzephalitischer PlaqueMRTNervus trigeminusNeurochirurgie
 
 
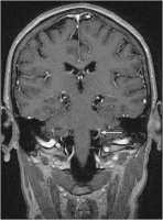
Nervus trigeminus - Arteria cerebelli superior
Abbildung 2: Der Pfeil markiert den Nervus trigeminus rechts im Bereich der Eintrittszone im Hirnstamm. Kranial und lateral wird der Nerv von einer Gefäßschlinge der Arteria cerebelli superior komprimiert.


Keywords: Arteria cerebelli superiorMRTNervus trigeminusNeurochirurgie
 
 
Thermokoagulation
Abbildung 3: Lagerung des Patienten bei der Thermokoagulation. C-Bogen, RF-Läsionsgenerator


Keywords: FotoNeurochirurgieThermokoagulation
 
 
Thermokoagulation
Abbildung 4: Thermokoagulation: Punktionsstelle lateral des Mundwinkels in Richtung Foramen ovale rechts.


Keywords: FotoNeurochirurgieThermokoagulation
 
 
Elektrodenspitze - Foramen ovale
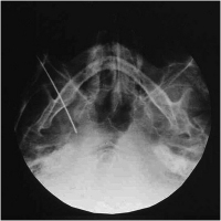
Abbildung 5: Die submentovertikale Röntgenaufnahme der Schädelbasis zeigt die Elektrodenspitze im Foramen ovale rechts.


Keywords: ElektrodeForamen ovaleNeurochirurgieRöntgen
 
 
Glyzerinrhizolyse - Cavum Meckeli - Zisterna trigemini
Abbildung 6: Glyzerinrhizolyse: Röntgenaufnahme der Schädelbasis seitlich. Nadelspitze im Kontrastmittelfüllung der Zisterna trigemini.


Keywords: Cavum MeckeliGlyzerinrhizolyseNeurochirurgieRöntgenZisterna trigemini
 
 
Sinus transversus - Sinus sigmoideus
Abbildung 7: Operativer Zugangsweg zum Kleinhirnbrückenwinkel rechts. Begrenzung der Kraniotomie durch den Sinus transversus und Sinus sigmoideus, Mastoid schraffiert dargestellt.


Keywords: FotoKleinhirnbrückenwinkelNeurochirurgieSinus sigmoideusSinus transversus
 
 
Kleinhirnbrückenwinkel - Nervus trigeminus - Arteria cerebelli superior
Abbildung 8: Operationssitus im Kleinhirnbrückenwinkel rechts: der N. trigeminus wird im Bereich der Eintrittszone im Hirnstamm von einer Schlinge der A. cerebelli superior von kranial und lateral komprimiert.


Keywords: Arteria cerebelli superiorKleinhirnbrückenwinkelNervus trigeminusNeurochirurgieOperationssitus
 
 
Operationssitus - Nervus trigeminus - Arteria cerebelli superior
Abbildung 9: Interponiertes Muskelstück zwischen dem N. trigeminus und der dislozierten A. cerebelli superior.


Keywords: Arteria cerebelli superiorNervus trigeminusNeurochirurgieOperationssitus
 
 
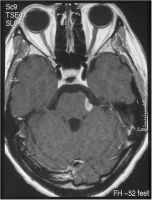
Arteria cerebelli - Nervus vagus - Nervus glossopharyngeus
Abbildung 10: Der Pfeil markiert eine Gefäßschlinge der Arteria cerebelli inferior posterior im Bereich der Eintrittszone des Nervus vagus und Nervus glossopharyngeus links.


Keywords: Arteria cerebelli inferior posteriorMRTNervus glossopharyngeusNervus vagusNeurochirurgie
 
 
 
copyright © 2000–2026 Krause & Pachernegg GmbH | Sitemap | Datenschutz | Impressum
 
Werbung