Spendel MC Die operative Behandlung der Trigeminusneuralgie und anderer vaskulärer Hirnnerven-Kompressionssyndrome Journal für Neurologie, Neurochirurgie und Psychiatrie 2006; 7 (1): 11-22 Volltext (PDF) Summary Übersicht | ||||||||||||||||
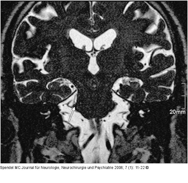
Abbildung 2: Nervus trigeminus - Arteria cerebelli superior Der Pfeil markiert den Nervus trigeminus rechts im Bereich der Eintrittszone im Hirnstamm. Kranial und lateral wird der Nerv von einer Gefäßschlinge der Arteria cerebelli superior komprimiert. |
Abbildung 2: Nervus trigeminus - Arteria cerebelli superior
Der Pfeil markiert den Nervus trigeminus rechts im Bereich der Eintrittszone im Hirnstamm. Kranial und lateral wird der Nerv von einer Gefäßschlinge der Arteria cerebelli superior komprimiert. |
