Sailer J, Turetschek K, Schima W Bildgebung bei Morbus Crohn: Konventionelles Enteroklysma, CT-Enteroklysma oder MR-Enteroklysma? Journal für Gastroenterologische und Hepatologische Erkrankungen 2006; 4 (3): 10-17 Volltext (PDF) Summary Übersicht | ||||||||||||||||
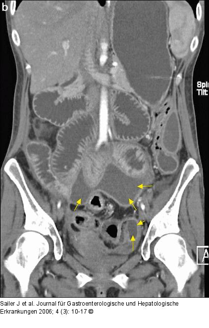
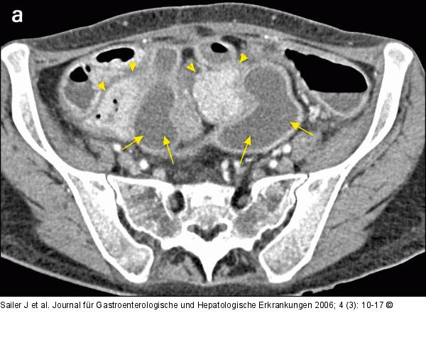
Abbildung 3a-b: CT-Enteroklysma CT-Enteroklysma einer 41jährigen Patientin, klinische Zeichen eines akuten Abdomens; axiale und coronale Rekonstruktionen: ausgedehnte, zwischen den Dünndarmschlingen gelegene Abszeßformation mit diskretem Rand-Enhancement (Pfeile), deutlich entzündliche Wandverdickung des terminalen Ileums (Pfeilspitzen). |
Abbildung 3a
Abbildung 3b
Abbildung 3a-b: CT-Enteroklysma
CT-Enteroklysma einer 41jährigen Patientin, klinische Zeichen eines akuten Abdomens; axiale und coronale Rekonstruktionen: ausgedehnte, zwischen den Dünndarmschlingen gelegene Abszeßformation mit diskretem Rand-Enhancement (Pfeile), deutlich entzündliche Wandverdickung des terminalen Ileums (Pfeilspitzen). |
