Sailer J, Turetschek K, Schima W Bildgebung bei Morbus Crohn: Konventionelles Enteroklysma, CT-Enteroklysma oder MR-Enteroklysma? Journal für Gastroenterologische und Hepatologische Erkrankungen 2006; 4 (3): 10-17 Volltext (PDF) Summary Übersicht | ||||||||||||||||||
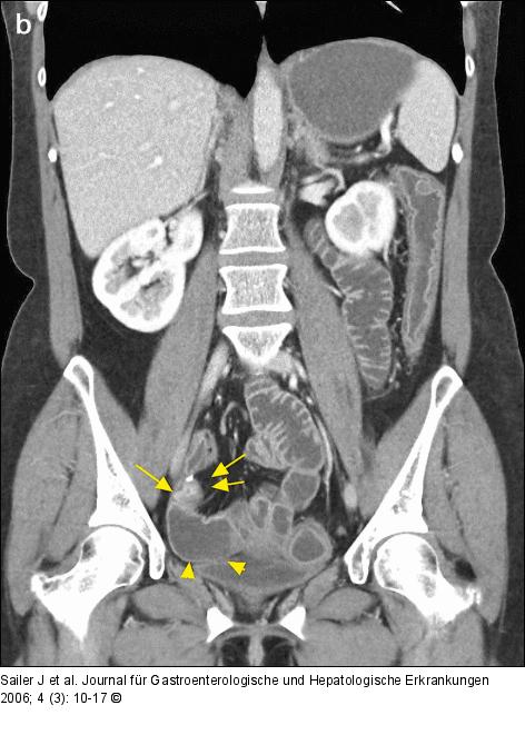
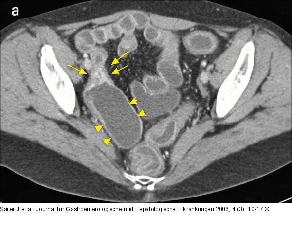
Abbildung 4a-b: Morbus Crohn-Rezidiv Morbus Crohn-Rezidiv im neoterminalen Ileum nach Ileocoecalresektion. CT-Enteroklysma eines 38jährigen Patienten zeigt an der Anastomose eine höhergradige kurzstreckige Stenose mit Wandverdickung und verstärkter Kontrastmittelaufnahme (Pfeile), begleitende prästenotische Dilatation (Pfeilspitzen). |
Abbildung 4a
Abbildung 4b
Abbildung 4a-b: Morbus Crohn-Rezidiv
Morbus Crohn-Rezidiv im neoterminalen Ileum nach Ileocoecalresektion. CT-Enteroklysma eines 38jährigen Patienten zeigt an der Anastomose eine höhergradige kurzstreckige Stenose mit Wandverdickung und verstärkter Kontrastmittelaufnahme (Pfeile), begleitende prästenotische Dilatation (Pfeilspitzen). |
