Binder T Evaluierung zur kardialen Resynchronisationstherapie (CRT) - Die echokardiographische Untersuchung Journal für Kardiologie - Austrian Journal of Cardiology 2007; 14 (3-4): 63-70 Volltext (PDF) Fallbeschreibung Übersicht
| ||||||||||||||||
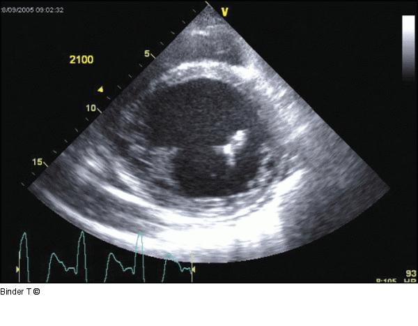
Abbildung 2: Parasternale kurze Achse Dilatierter linker Ventrikel mit höhergradig reduzierter Linksventrikelfunktion. Deutlich asynchroner Kontraktionsablauf mit biphasischer Septumbewegung (mit rascher frühsystolischer Einwärtsbewegung des Septums). Keine regionale Wandbewegungsstörung (spricht für dilatative CMP). Kleiner Perikarderguss hinter dem linken Ventrikel. |
Film starten
Abbildung 2: Parasternale kurze Achse
Dilatierter linker Ventrikel mit höhergradig reduzierter Linksventrikelfunktion. Deutlich asynchroner Kontraktionsablauf mit biphasischer Septumbewegung (mit rascher frühsystolischer Einwärtsbewegung des Septums). Keine regionale Wandbewegungsstörung (spricht für dilatative CMP). Kleiner Perikarderguss hinter dem linken Ventrikel. |
