Binder T Evaluierung zur kardialen Resynchronisationstherapie (CRT) - Die echokardiographische Untersuchung Journal für Kardiologie - Austrian Journal of Cardiology 2007; 14 (3-4): 63-70 Volltext (PDF) Fallbeschreibung Übersicht
| ||||||||||||||||
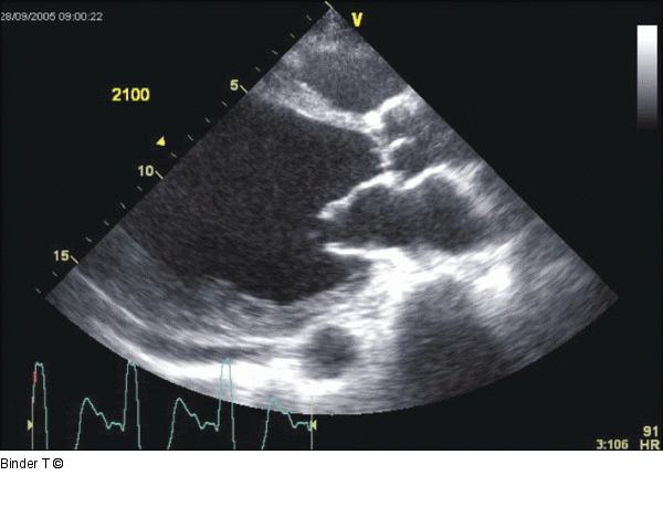
Abbildung 3: Parasternale lange Achse Deutlich dilatierter linker Ventrikel, mit höhergradig reduzierte LVF. Die Wanddicke ist in den einsehbaren Abschnitten erhalten (keine Narbe) Dyssynchronie der Kontraktion ist erkennbar. Myopathisches Bewegungsmuster der Mitralklappe (Folge der reduzierten LVF). Kleiner Perikarderguß. |
Film starten
Abbildung 3: Parasternale lange Achse
Deutlich dilatierter linker Ventrikel, mit höhergradig reduzierte LVF. Die Wanddicke ist in den einsehbaren Abschnitten erhalten (keine Narbe) Dyssynchronie der Kontraktion ist erkennbar. Myopathisches Bewegungsmuster der Mitralklappe (Folge der reduzierten LVF). Kleiner Perikarderguß. |
