Verlag für Medizin und Wirtschaft
Artikel
Bilder
Volltext
Mobile Version
A-
|
A
|
A+
Werbung
Abo
Bestellung Jahresabonnement (Print/elektronisch)
Bestellung kostenloses e-Journal-Abo
Mediadaten
Journale
News
Datenbanken
Suche Medizinische Publikationen
Suche Abbildungen und Grafiken
Medizinprodukte - Labortechnik
Antidotarium (Stand 2012)
Phytokodex (Stand 2012)
Endoskopie in Österreich (Stand 2010)
Kardiologie in Österreich (Stand 2006)
Osteologie in Österreich (Stand 2016)
Fortbildung
Bücher
Fachbücher
Patientenliteratur
Impressum
Offenlegung
Kontakt
Disclaimers & Copyright
Allgemeine Geschäftsbedingungen
Datenschutzerklärung
Sitemap
Abbildungen mit Filmsequenzen
Weihs W
Echokardiographie aktuell: Kardiale Beteiligung bei Systemerkrankungen – Malignes Lymphom
Journal für Kardiologie - Austrian Journal of Cardiology 2012; 19 (5-6)
: 196-198
Volltext (PDF)
Abbildungen mit Filmsequenzen
Abbildung
Vollbildansicht
EKG
Abbildung 1: 12-Ableitungs-EKG: Sinusrhythmus 80/min, Idifferenztyp, unauffälliger Korrekturverlauf
Keywords:
EKG
,
Kardiologie
Vollbildansicht
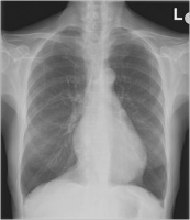
Thorax-Röntgen
Abbildung 2: Thorax-Röntgen: linksventrikulär betontes Herz, keine Stauungszeichen, Aortensklerose, keine Infiltrate, dorsal adhärenter Recessus, suspekte Zeichen einer Rechtsherzbelastung.
Keywords:
Kardiologie
,
Röntgenbild
Vollbildansicht
Echo
Abbildung 3: Parasternaler Längsschnitt (in der Übersicht): Raumforderung im linken Vorhof (gelber Pfeil), kleiner Perikarderguss (roter Pfeil). LV: linker Ventrikel: LA: linker Vorhof; RV: rechter Vorhof; PE: Perikarderguss
Keywords:
Echo
,
Kardiologie
Film starten
Vollbildansicht
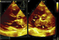
Echo
Abbildung 4: Parasternaler Längs- und Querschnitt: Darstellung der Raumforderung im linken und rechten Vorhof sowie im interatrialen Septum (Pfeile). LV: linker Ventrikel; LA: linker Vorhof; RV: rechter Ventrikel; Ao: Aorta
Keywords:
Echo
,
Kardiologie
Vollbildansicht
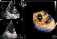
Echo
Abbildung 5: Dreidimensionaler Schnitt durch die Raumforderung, welche den gesamten Vorhof umgibt. RA: rechter Vorhof; LA: linker Vorhof
Keywords:
Echo
,
Kardiologie
Film starten
Vollbildansicht
Echo
Abbildung 6: Apikaler Vierkammerblick: Raumforderung im linken und rechten Vorhof (Pfeile), kleiner Perikarderguss
Keywords:
Echo
,
Kardiologie
Film starten
Vollbildansicht
Echo
Abbildung 7: Subkostaler Vierkammerblick: Raumforderung im linken und rechten Vorhof (Pfeile), kleiner Perikarderguss. LV: linker Ventrikel; LA: linker Vorhof; RV: rechter Ventrikel; RA: rechter Vorhof
Keywords:
Echo
,
Kardiologie
Film starten
Vollbildansicht
Strainanalyse
Abbildung 8: Strainanalyse (offline) der Raumforderung. Keine intrinsische Kontraktilität (rote Linie) im Vergleich zum linken und rechten Ventrikel.
Keywords:
Kardiologie
,
Strainanalyse
Vollbildansicht
Speckletracking
Abbildung 9: Speckletracking des linken Ventrikels: Geringfügig reduzierter longitudinaler Strain (normalerweise > 16 %).
Keywords:
Kardiologie
,
Speckle tracking
Vollbildansicht
Speckletracking
Abbildung 10: Speckletracking des linken Ventrikels: Gesteigerte radialer Strain im Querschnitt (Hyperkontraktilität).
Keywords:
Kardiologie
,
Speckle tracking
copyright © 2000–2025
Krause & Pachernegg GmbH
|
Sitemap
|
Datenschutz
|
Impressum
Werbung