Weihs W Echokardiographie aktuell: Kardiale Beteiligung bei Systemerkrankungen – Malignes Lymphom Journal für Kardiologie - Austrian Journal of Cardiology 2012; 19 (5-6): 196-198 Volltext (PDF) Übersicht
| ||||||||||||||||||
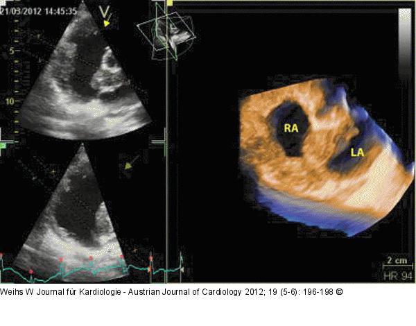
Abbildung 5: Echo Dreidimensionaler Schnitt durch die Raumforderung, welche den gesamten Vorhof umgibt. RA: rechter Vorhof; LA: linker Vorhof |
Film starten
Abbildung 5: Echo
Dreidimensionaler Schnitt durch die Raumforderung, welche den gesamten Vorhof umgibt. RA: rechter Vorhof; LA: linker Vorhof |
