Weihs W Echokardiographie aktuell: Kardiale Beteiligung bei Systemerkrankungen – Malignes Lymphom Journal für Kardiologie - Austrian Journal of Cardiology 2012; 19 (5-6): 196-198 Volltext (PDF) Übersicht
| ||||||||||||||||
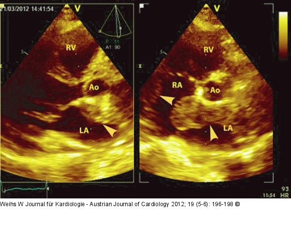
Abbildung 4: Echo Parasternaler Längs- und Querschnitt: Darstellung der Raumforderung im linken und rechten Vorhof sowie im interatrialen Septum (Pfeile). LV: linker Ventrikel; LA: linker Vorhof; RV: rechter Ventrikel; Ao: Aorta |
Abbildung 4: Echo
Parasternaler Längs- und Querschnitt: Darstellung der Raumforderung im linken und rechten Vorhof sowie im interatrialen Septum (Pfeile). LV: linker Ventrikel; LA: linker Vorhof; RV: rechter Ventrikel; Ao: Aorta |
