Weihs W Echokardiographie aktuell: Kardiale Beteiligung bei Systemerkrankungen – Malignes Lymphom Journal für Kardiologie - Austrian Journal of Cardiology 2012; 19 (5-6): 196-198 Volltext (PDF) Übersicht
| ||||||||||||||||
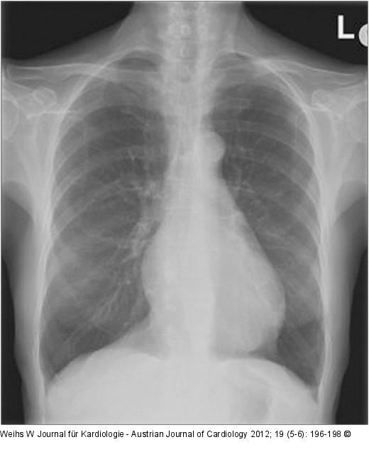
Abbildung 2: Thorax-Röntgen Thorax-Röntgen: linksventrikulär betontes Herz, keine Stauungszeichen, Aortensklerose, keine Infiltrate, dorsal adhärenter Recessus, suspekte Zeichen einer Rechtsherzbelastung. |
Abbildung 2: Thorax-Röntgen
Thorax-Röntgen: linksventrikulär betontes Herz, keine Stauungszeichen, Aortensklerose, keine Infiltrate, dorsal adhärenter Recessus, suspekte Zeichen einer Rechtsherzbelastung. |
