Verlag für Medizin und Wirtschaft
Artikel
Bilder
Volltext
Mobile Version
A-
|
A
|
A+
Werbung
Abo
Bestellung Jahresabonnement (Print/elektronisch)
Bestellung kostenloses e-Journal-Abo
Mediadaten
Journale
News
Datenbanken
Suche Medizinische Publikationen
Suche Abbildungen und Grafiken
Medizinprodukte - Labortechnik
Antidotarium (Stand 2012)
Phytokodex (Stand 2012)
Fortbildung
Bücher
Fachbücher
Patientenliteratur
Impressum
Offenlegung
Kontakt
Disclaimers & Copyright
Allgemeine Geschäftsbedingungen
Datenschutzerklärung
Sitemap
Abbildungen und Graphiken
Jankovic M et al.
Adrenomyeloneuropathie - seltene Ursache einer spastischen Paraparese
Journal für Neurologie, Neurochirurgie und Psychiatrie 2003; 4 (4)
: 31-34
Volltext (PDF)
Abbildungen
Abbildung
Vollbildansicht
Adrenomyeloneuropathie
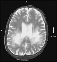
Abbildung 1: Axiale T2 des Gehirns: Ausgeprägte hyperintense Signalveränderungen im Centrum semiovale erkrankungstypisch im dorsalen Anteil.
Keywords:
Adrenomyeloneuropathie
,
Centrum semiovale
,
MRT
,
Neurologie
,
Signalstörung
Vollbildansicht
Adrenomyeloneuropathie
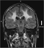
Abbildung 2: Koronale TIRM: Ausdehnung der Hyperintensitäten bis zur Subkortikalregion.
Keywords:
Adrenomyeloneuropathie
,
Hyperintensität
,
MRT
,
Neurologie
,
Subkortikalregion
Vollbildansicht
Adrenomyeloneuropathie
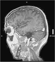
Abbildung 3: Sagittale T1 des Gehirns mit Kontrastmittel: zarte, randständige Kontrastmittelaufnahme
Keywords:
Adrenomyeloneuropathie
,
Gehirn
,
Kontrastmittel
,
MRT
,
Neurologie
Vollbildansicht
Adrenomyeloneuropathie
Abbildung 4: Spinale T1-TSE sagittal: Atrophie des gesamten Myelons.
Keywords:
Adrenomyeloneuropathie
,
Atrophie
,
MRT
,
Myelom
,
Neurologie
copyright © 2000–2026
Krause & Pachernegg GmbH
|
Sitemap
|
Datenschutz
|
Impressum
Werbung