Jankovic M, Güler N, Kopsa W, Podreka I Adrenomyeloneuropathie - seltene Ursache einer spastischen Paraparese Journal für Neurologie, Neurochirurgie und Psychiatrie 2003; 4 (4): 31-34 Volltext (PDF) Übersicht | ||||||||
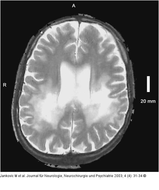
Abbildung 1: Adrenomyeloneuropathie Axiale T2 des Gehirns: Ausgeprägte hyperintense Signalveränderungen im Centrum semiovale erkrankungstypisch im dorsalen Anteil. |
Abbildung 1: Adrenomyeloneuropathie
Axiale T2 des Gehirns: Ausgeprägte hyperintense Signalveränderungen im Centrum semiovale erkrankungstypisch im dorsalen Anteil. |
