Jankovic M, Güler N, Kopsa W, Podreka I Adrenomyeloneuropathie - seltene Ursache einer spastischen Paraparese Journal für Neurologie, Neurochirurgie und Psychiatrie 2003; 4 (4): 31-34 Volltext (PDF) Übersicht | ||||||||
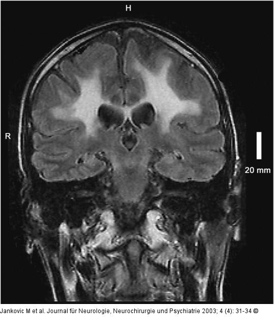
Abbildung 2: Adrenomyeloneuropathie Koronale TIRM: Ausdehnung der Hyperintensitäten bis zur Subkortikalregion. |
Abbildung 2: Adrenomyeloneuropathie
Koronale TIRM: Ausdehnung der Hyperintensitäten bis zur Subkortikalregion. |
