Jankovic M, Güler N, Kopsa W, Podreka I Adrenomyeloneuropathie - seltene Ursache einer spastischen Paraparese Journal für Neurologie, Neurochirurgie und Psychiatrie 2003; 4 (4): 31-34 Volltext (PDF) Übersicht | ||||||||
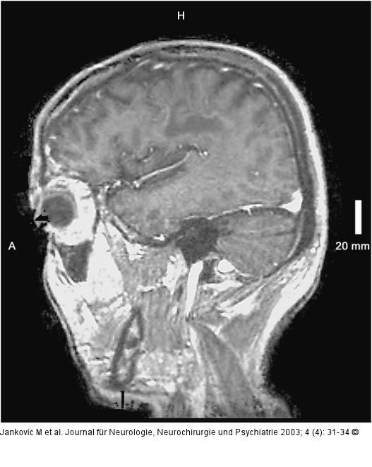
Abbildung 3: Adrenomyeloneuropathie Sagittale T1 des Gehirns mit Kontrastmittel: zarte, randständige Kontrastmittelaufnahme |
Abbildung 3: Adrenomyeloneuropathie
Sagittale T1 des Gehirns mit Kontrastmittel: zarte, randständige Kontrastmittelaufnahme |
