Verlag für Medizin und Wirtschaft
Artikel
Bilder
Volltext
Mobile Version
A-
|
A
|
A+
Werbung
Abo
Bestellung Jahresabonnement (Print/elektronisch)
Bestellung kostenloses e-Journal-Abo
Mediadaten
Journale
News
Datenbanken
Suche Medizinische Publikationen
Suche Abbildungen und Grafiken
Medizinprodukte - Labortechnik
Antidotarium (Stand 2012)
Phytokodex (Stand 2012)
Endoskopie in Österreich (Stand 2010)
Kardiologie in Österreich (Stand 2006)
Osteologie in Österreich (Stand 2016)
Fortbildung
Bücher
Fachbücher
Patientenliteratur
Impressum
Offenlegung
Kontakt
Disclaimers & Copyright
Allgemeine Geschäftsbedingungen
Datenschutzerklärung
Sitemap
Abbildungen mit Filmsequenzen
Wallner H
Fallbericht: Akute embolisch bedingte Mesenterialischämie
Zeitschrift für Gefäßmedizin 2008; 5 (2)
: 23-24
Volltext (PDF)
Fallbeschreibung
Abbildungen mit Filmsequenzen
Abbildung
Vollbildansicht
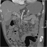
A. mesenterica superior
Abbildung 1: Kontrasmittel NTCT mit Verschluss der A. mesenterica superior
Keywords:
Angiologie
,
Gefäßmedizin
Vollbildansicht
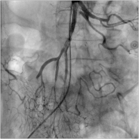
A. mesenterica superior
Abbildung 2: Retrograde Darstellung der A. mesenterica superior mit Verschluss ca 5. cm nach dem Ursprung
Keywords:
Angiologie
,
Arteria mesenterica superior
,
Gefäßmedizin
Film 1 starten
Film 2 starten
Vollbildansicht
Embolus - Passage
Abbildung 3: Versuch der Passage des Embolus mittels Doppeldrahttechnik ("intermediate" Draht, Asahi-Miraclebros 4,5 g)
Keywords:
Angiographie
,
Doppeldrahttechnik
,
Embolus
,
Gefäßmedizin
Film starten
Vollbildansicht
Zweifachstentimplantation
Abbildung 4: Wiedereröffneter Hauptstamm mit Zweifachstentimplantation, Auffüllung der Arkadengefäße, peripher noch embolisch bedingter Verschluss eines Hauptgefäßes
Keywords:
Angiographie
,
Gefäßmedizin
,
Zweifachstent
Film starten
copyright © 2000–2025
Krause & Pachernegg GmbH
|
Sitemap
|
Datenschutz
|
Impressum
Werbung