Wallner H Fallbericht: Akute embolisch bedingte Mesenterialischämie Zeitschrift für Gefäßmedizin 2008; 5 (2): 23-24 Volltext (PDF) Fallbeschreibung Übersicht
| ||||||||
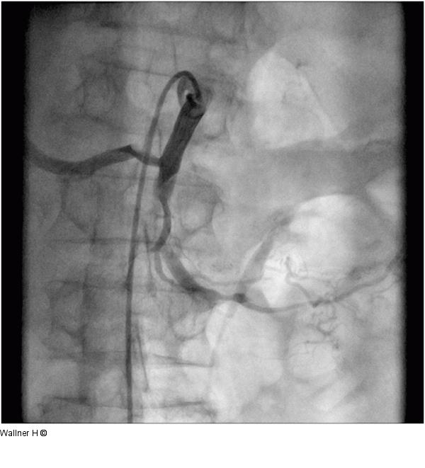
Abbildung 2: A. mesenterica superior Retrograde Darstellung der A. mesenterica superior mit Verschluss ca 5. cm nach dem Ursprung |
Film 1 starten Film 2 starten
Abbildung 2: A. mesenterica superior
Retrograde Darstellung der A. mesenterica superior mit Verschluss ca 5. cm nach dem Ursprung |
