Wallner H Fallbericht: Akute embolisch bedingte Mesenterialischämie Zeitschrift für Gefäßmedizin 2008; 5 (2): 23-24 Volltext (PDF) Fallbeschreibung Übersicht
| ||||||||
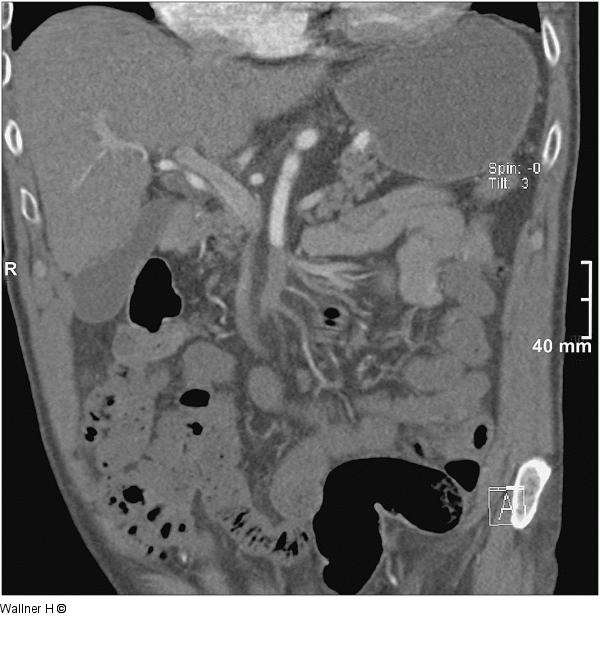
Abbildung 1: A. mesenterica superior Kontrasmittel NTCT mit Verschluss der A. mesenterica superior |
Abbildung 1: A. mesenterica superior
Kontrasmittel NTCT mit Verschluss der A. mesenterica superior |
