| Wallner H | ||||||||
|---|---|---|---|---|---|---|---|---|
|
Fallbericht: Akute embolisch bedingte Mesenterialischämie Zeitschrift für Gefäßmedizin 2008; 5 (2): 23-24 Volltext (PDF) Fallbeschreibung Abbildungen mit Filmsequenzen
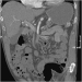
Keywords: Angiologie, Fallbericht, Mesenterialischämie Vorgeschichte Der 76 Jahre alte Patient (182 cm, 78 kg) wurde vom Krankenhaus Mittersill bei akutem Abdomen und sonographisch drin-gendem Verdacht eines Verschlusses der A. mesenterica superior zugewiesen. Die Symptome traten nach dem Mittagessenauf. Bei dem Pat. ist auch ein chronisches Vorhofflimmern bekannt, wobei aufgrund rezidivierender Glaskörperblutungenvon einer oralen Antikoagulation abgesehen wurde. Der Pat. wurde stattdessen mit 100 mg Acetylsalicylsäure behandelt. CT des Abdomens nativ und mit Kontrastmittel. Es bestätigt sich der auswärts gestellte Verdacht eines thrombotischen Verschlusses der A. mesenterica superior ca. 5 cm nach dem Abgang. Vereinzelte jejunale Äste sind perfundiertdargestellt. Der Truncus coeliacus und die A. mesenterica inferior zeigen keinen zusätzlichen thrombotischen Verschluss.AngiographieVergleichbar zum CT-Angiogramm zeigt sich etwa 5 cm nachdem Ursprung ein prompter Verschluss des Hauptstamms derA. mesenterica superior. In den späten Füllungsphasen Darstellung peripherer Arkadengefäße. Diskussion Der Pat. leidet an einer akuten Mesenterialischämie mit embolisch bedingtem Verschluss der A. mesenterica superior kurznach dem Abgang aus der Aorta abdominalis. Als Grunderkrankung bestand ein chronisches Vorhofflimmern ohneorale Antikoagulation bei relativer Kontraindikation mit rezi-divierenden Glaskörperblutungen. Aufgrund des duplexsono-graphischen Befundes mit einem Stoppsignal in der proxima-len A. mesenterica superior wurde unmittelbar eine Kontrast-studie mittels Multidetektor-CT durchgeführt. Hier wurde derVerdacht bestätigt.Bei dem Pat. erfolgte eine akute Angiographie sowie eine per-kutane transluminale Angioplastie mit Zweifachstentimplantation. Aufgrund des steilen Abgangswinkels der A. mesenterica superior war neben einem transfemoralen Zugang vonrechts auch ein transbrachialer Zugang rechts erforderlich.Mit einer Zweidrahttechnik unter Verwendung von hydrophilbeschichteten Drähten konnte der relativ harte embolisch bedingte Verschluss passiert werden – mit einer anschließenden Angioplastie sowie einer Thrombusfragmentation mittels Stentimplantation |
