Wallner H Fallbericht: Akute embolisch bedingte Mesenterialischämie Zeitschrift für Gefäßmedizin 2008; 5 (2): 23-24 Volltext (PDF) Fallbeschreibung Übersicht
| ||||||||
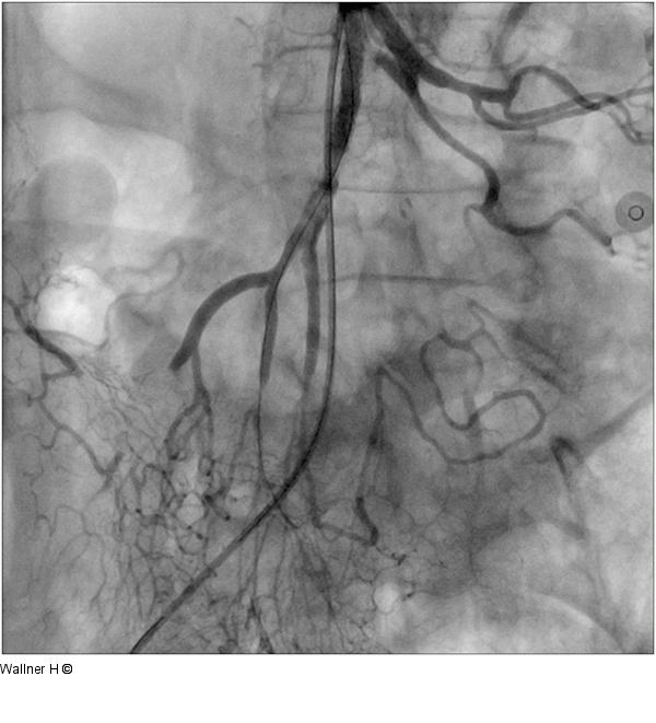
Abbildung 4: Zweifachstentimplantation Wiedereröffneter Hauptstamm mit Zweifachstentimplantation, Auffüllung der Arkadengefäße, peripher noch embolisch bedingter Verschluss eines Hauptgefäßes |
Film starten
Abbildung 4: Zweifachstentimplantation
Wiedereröffneter Hauptstamm mit Zweifachstentimplantation, Auffüllung der Arkadengefäße, peripher noch embolisch bedingter Verschluss eines Hauptgefäßes |
