| Kathrein H, Seitz K | ||||||||||||||||||||||||||||||||||
|---|---|---|---|---|---|---|---|---|---|---|---|---|---|---|---|---|---|---|---|---|---|---|---|---|---|---|---|---|---|---|---|---|---|---|
|
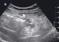
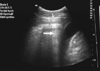
Kolon-Divertikulitis: Diagnostik und sonographisch gesteuerte Therapie
Journal für Gastroenterologische und Hepatologische Erkrankungen 2009; 7 (2): 13-18 Volltext (PDF) Summary Praxisrelevanz Fragen zum Artikel Abbildungen
|
||||||||||||||||||||||||||||||||||
