Kathrein H, Seitz K Kolon-Divertikulitis: Diagnostik und sonographisch gesteuerte Therapie Journal für Gastroenterologische und Hepatologische Erkrankungen 2009; 7 (2): 13-18 Volltext (PDF) Summary Praxisrelevanz Fragen zum Artikel Übersicht | ||||||||||
Abbildung 2: Divertikulitis Zweiter Schub einer Divertikulitis: Im druckschmerzhaften Bereich im linken Unterbauch 11 mm großes echoarmes Divertikel, außen am Colon descendens hängend (zwischen den +); gut erkennbare echoreiche Entzündungsreaktion (dünne Pfeile), Übergang aus der normal dicken Kolonwand in den verdickten Bereich (dicker Pfeil). |
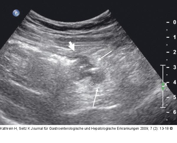
Abbildung 2: Divertikulitis
Zweiter Schub einer Divertikulitis: Im druckschmerzhaften Bereich im linken Unterbauch 11 mm großes echoarmes Divertikel, außen am Colon descendens hängend (zwischen den +); gut erkennbare echoreiche Entzündungsreaktion (dünne Pfeile), Übergang aus der normal dicken Kolonwand in den verdickten Bereich (dicker Pfeil). |
