Kathrein H, Seitz K Kolon-Divertikulitis: Diagnostik und sonographisch gesteuerte Therapie Journal für Gastroenterologische und Hepatologische Erkrankungen 2009; 7 (2): 13-18 Volltext (PDF) Summary Praxisrelevanz Fragen zum Artikel Übersicht | ||||||||||
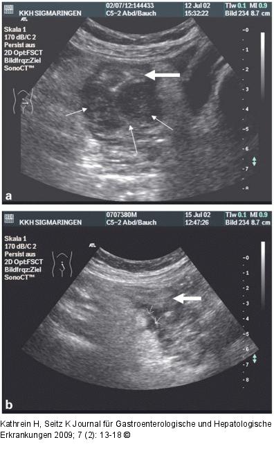
Abbildung 4a-b: Abszess Abszess (dünne Pfeile) bei Sigmadivertikulitis vor (a) und nach Punktion (b), Sigmaabschnitt (dicker Pfeil) |
Abbildung 4a-b: Abszess
Abszess (dünne Pfeile) bei Sigmadivertikulitis vor (a) und nach Punktion (b), Sigmaabschnitt (dicker Pfeil) |
