Kathrein H, Seitz K Kolon-Divertikulitis: Diagnostik und sonographisch gesteuerte Therapie Journal für Gastroenterologische und Hepatologische Erkrankungen 2009; 7 (2): 13-18 Volltext (PDF) Summary Praxisrelevanz Fragen zum Artikel Übersicht | ||||||||||
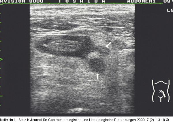
Abbildung 3: Divertikulitis - Peridivertikulitis Divertikulitis/Peridivertikulitis: 2 Divertikel mit echoarmem Inhalt, möglicherweise beginnende Abszessbildung (Pfeile); die Umgebung der Divertikel auffallend echogen dargestellt (entzündliche Weichteilreaktion). |
Abbildung 3: Divertikulitis - Peridivertikulitis
Divertikulitis/Peridivertikulitis: 2 Divertikel mit echoarmem Inhalt, möglicherweise beginnende Abszessbildung (Pfeile); die Umgebung der Divertikel auffallend echogen dargestellt (entzündliche Weichteilreaktion). |
