Schneider C, Kothbauer KF Lumbales Facettensyndrom: Behandlung des zygoapophysealen Schmerzes zwischen Evidenz und Anekdote Journal für Neurologie, Neurochirurgie und Psychiatrie 2013; 14 (2): 64-68 Volltext (PDF) Summary Praxisrelevanz Übersicht | ||||||||
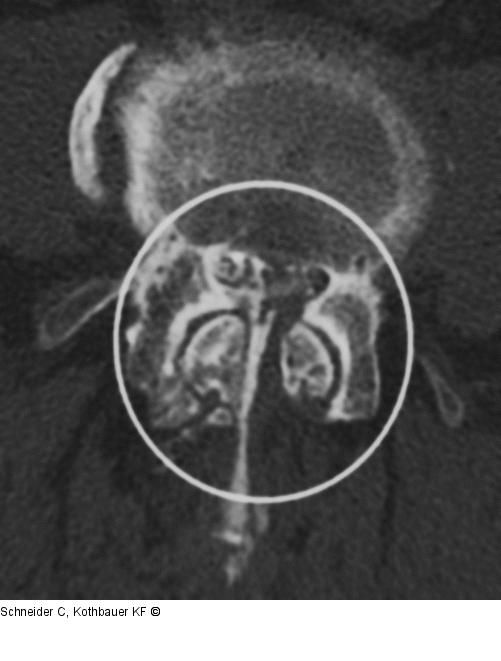
Abbildung 1: Facettensyndrom Myelographie-CT (axiales Knochenfenster): Typische degenerative Facettengelenksarthrose mit Sagittalstellung der Gelenke, Gelenksinkongruenz, spondylophytärem Anbau und konsekutiver Spinalkanalstenose. |
Abbildung 1: Facettensyndrom
Myelographie-CT (axiales Knochenfenster): Typische degenerative Facettengelenksarthrose mit Sagittalstellung der Gelenke, Gelenksinkongruenz, spondylophytärem Anbau und konsekutiver Spinalkanalstenose. |
