Wahnschaff F, Guenther A, Koch A, Kalff R, Waschke A Hypophyseninfarkt aufgrund eines Hypophysenadenoms mit konsekutiver Kompression beider Arteriae carotis interna: Erfahrungen, Pathophysiologie, Therapie Journal für Neurologie, Neurochirurgie und Psychiatrie 2013; 14 (4): 195-199 Volltext (PDF) Praxisrelevanz Übersicht | ||||||||||||||||||
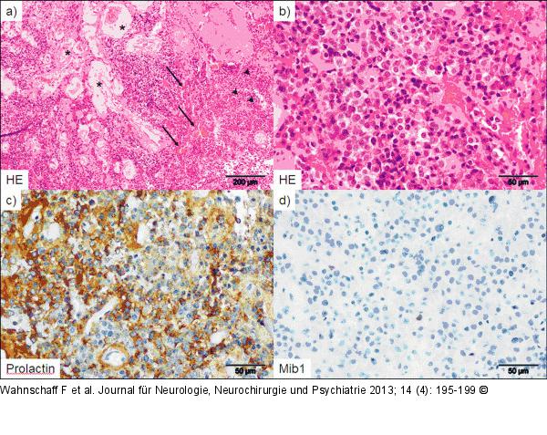
Abbildung 5a-d: Hypophysenadenom (a, b) H&E-Präparate der Dura mater (Sterne), welche infiltriert ist von einem monomorphischen Tumor. Die Tumorzellen weisen ein spärlich granuliertes Zytoplasma und runde Zellkerne auf. Mitotische Elemente zeigen sich nicht. Frische Blutungen (Pfeile) sowie pränekrotische Areale (Pfeilspitzen) sind sichtbar. (c) Die Tumorzellen zeigen eine starke zytoplasmatische Immunreaktion mit Antikörper gegen Prolaktin. (d) Der Mib1 Labeling Index ist gering. |
Abbildung 5a-d: Hypophysenadenom
(a, b) H&E-Präparate der Dura mater (Sterne), welche infiltriert ist von einem monomorphischen Tumor. Die Tumorzellen weisen ein spärlich granuliertes Zytoplasma und runde Zellkerne auf. Mitotische Elemente zeigen sich nicht. Frische Blutungen (Pfeile) sowie pränekrotische Areale (Pfeilspitzen) sind sichtbar. (c) Die Tumorzellen zeigen eine starke zytoplasmatische Immunreaktion mit Antikörper gegen Prolaktin. (d) Der Mib1 Labeling Index ist gering. |
