Ba-Ssalamah A, Bastati N, Nolz R, Wibmer A, Schima W Die klinische Rolle der kontrastmittelverstärkten MRT in der morphologischen und funktionellen Diagnostik von Erkrankungen der Leber und Gallenwege Journal für Gastroenterologische und Hepatologische Erkrankungen 2013; 11 (4): 6-13 Volltext (PDF) Summary Praxisrelevanz Fragen zum Artikel Übersicht | ||||||||||||||||||
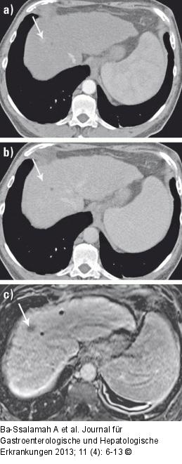
Abbildung 6a-c: MRT-Diagnostik KM-verstärkte MRT charakterisiert ein HCC besser als KM-verstärkte CT. (a) KM-verstärktes CT-Bild in der arteriellen Phase zeigt eine ca. 1 cm große, flaue hypervaskularisierte Läsion im rechten Leberlappen (Pfeil). (b) Im KM-verstärkten CT-Bild in der portalvenösen Phase ist die ca. 1 cm große, flaue hypervaskularisierte Läsion im rechten Leberlappen nicht erkennbar. Somit ist eine eindeutige Diagnose eines HCC (gegenüber einem dysplastischen Knoten) nicht möglich. (c) 20 Minuten nach Gabe von Gadoxetat zeigt die ca. 1 cm große Läsion im rechten Leberlappen ein eindeutiges Wash-out. Somit ist eine Differenzierung des HCC möglich. |
Abbildung 6a-c: MRT-Diagnostik
KM-verstärkte MRT charakterisiert ein HCC besser als KM-verstärkte CT. (a) KM-verstärktes CT-Bild in der arteriellen Phase zeigt eine ca. 1 cm große, flaue hypervaskularisierte Läsion im rechten Leberlappen (Pfeil). (b) Im KM-verstärkten CT-Bild in der portalvenösen Phase ist die ca. 1 cm große, flaue hypervaskularisierte Läsion im rechten Leberlappen nicht erkennbar. Somit ist eine eindeutige Diagnose eines HCC (gegenüber einem dysplastischen Knoten) nicht möglich. (c) 20 Minuten nach Gabe von Gadoxetat zeigt die ca. 1 cm große Läsion im rechten Leberlappen ein eindeutiges Wash-out. Somit ist eine Differenzierung des HCC möglich. |
