Gruber A, Knosp E Therapie rupturierter zerebraler Aneurysmen: Behandlungsoptionen und derzeitige Studienlage // Ruptured Intracranial Aneurysms: Treatment Options and Data from Recent Trials Journal für Neurologie, Neurochirurgie und Psychiatrie 2016; 17 (3): 90-100 Volltext (PDF) Fallbeschreibung Praxisrelevanz Übersicht
| ||||||||||||||||||
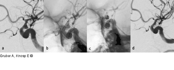
Abbildung 7a-d: Coil-Embolisation Ballongestützte Coil-Embolisation. (a) Angiographien der Arteria carotis interna im seitlichen Strahlengang zeigen ein breitbasiges Aneurysma der Karotishinterwand unmittelbar distal des Duradurchtritts. Das Aneurysma ist für eine konventionelle Coil-Embolisation zu breitbasig, die stentgestützte Coil-Embolisation ist in der Akutphase nach aSAB problematisch. Eine Alternative zur mikrochirurgischen Clippung – mit Clinoidresektion und proximaler Gefäßkontrolle durch Karotisfreilegung am Hals bzw. Ballonprotektion – besteht in der ballongestützten Coil-Embolisation. (b) Dabei werden 2 Mikrokathetersysteme gleichzeitig in das aneurysmatragende Gefäß hochgeführt, ein Mikrokatheter wird im Aneurysma, ein Ballonkatheter vor dem breiten Aneurysmahals im Gefäß positioniert. Durch intermittierendes Befüllen des Ballons während des Absetzens der Coils kann das Prolabieren der Coils in das Gefäß verhindert (c) und das Aneurysma korrekt verschlossen werden (d). Die Coils werden während des Einbringens in das Aneurysma durch den Widerstand des Ballons so verformt, dass sie auch nach dessen Entleerung nicht in das aneurysmatragende Gefäß zurückweichen können. Solche Ballonkatheter werden auch als „temporäre neck-bridging devices“ (im Gegensatz zu Stents und Flowdivertern, den so genannten „permanenten neck-bridging devices“) bezeichnet. Diese Methode erreicht bei großen breitbasigen Aneurysmen ihre Grenzen: Einerseits wird die Gesamtdauer der intermittierenden Ballonfüllung in der Akutphase nach aSAB zu lange (vgl. mit temporärer Clippung bei der Aneurysmachirurgie), andererseits ist die Langzeitstabilität des intra-aneurysmalen Coil-Paketes bei großen breitbasigen Aneurysmen suboptimal. |
Abbildung 7a-d: Coil-Embolisation
Ballongestützte Coil-Embolisation. (a) Angiographien der Arteria carotis interna im seitlichen Strahlengang zeigen ein breitbasiges Aneurysma der Karotishinterwand unmittelbar distal des Duradurchtritts. Das Aneurysma ist für eine konventionelle Coil-Embolisation zu breitbasig, die stentgestützte Coil-Embolisation ist in der Akutphase nach aSAB problematisch. Eine Alternative zur mikrochirurgischen Clippung – mit Clinoidresektion und proximaler Gefäßkontrolle durch Karotisfreilegung am Hals bzw. Ballonprotektion – besteht in der ballongestützten Coil-Embolisation. (b) Dabei werden 2 Mikrokathetersysteme gleichzeitig in das aneurysmatragende Gefäß hochgeführt, ein Mikrokatheter wird im Aneurysma, ein Ballonkatheter vor dem breiten Aneurysmahals im Gefäß positioniert. Durch intermittierendes Befüllen des Ballons während des Absetzens der Coils kann das Prolabieren der Coils in das Gefäß verhindert (c) und das Aneurysma korrekt verschlossen werden (d). Die Coils werden während des Einbringens in das Aneurysma durch den Widerstand des Ballons so verformt, dass sie auch nach dessen Entleerung nicht in das aneurysmatragende Gefäß zurückweichen können. Solche Ballonkatheter werden auch als „temporäre neck-bridging devices“ (im Gegensatz zu Stents und Flowdivertern, den so genannten „permanenten neck-bridging devices“) bezeichnet. Diese Methode erreicht bei großen breitbasigen Aneurysmen ihre Grenzen: Einerseits wird die Gesamtdauer der intermittierenden Ballonfüllung in der Akutphase nach aSAB zu lange (vgl. mit temporärer Clippung bei der Aneurysmachirurgie), andererseits ist die Langzeitstabilität des intra-aneurysmalen Coil-Paketes bei großen breitbasigen Aneurysmen suboptimal. |
