Kleinpeter G, Kalipciyan K Spontane Subarachnoidalblutungen mit negativem Angiogramm Journal für Neurologie, Neurochirurgie und Psychiatrie 2015; 16 (1): 23-28 Volltext (PDF) Summary Praxisrelevanz Übersicht | ||||||||
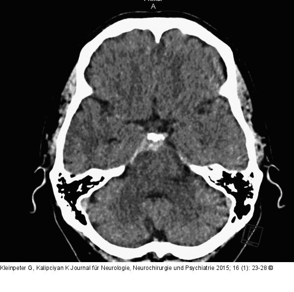
Abbildung 2: Subarachnoidalblutung Perimesenzephale Subarachnoidalblutung (pSAB). |
Abbildung 2: Subarachnoidalblutung
Perimesenzephale Subarachnoidalblutung (pSAB). |
