Kleinpeter G, Kalipciyan K Spontane Subarachnoidalblutungen mit negativem Angiogramm Journal für Neurologie, Neurochirurgie und Psychiatrie 2015; 16 (1): 23-28 Volltext (PDF) Summary Praxisrelevanz Übersicht | ||||||||
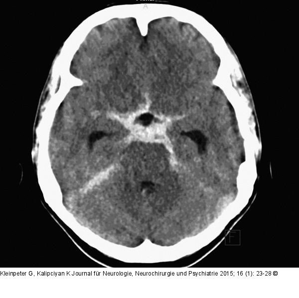
Abbildung 3: Subarachnoidalblutung Angiographisch negative Subarachnoidalblutung (nSAB). |
Abbildung 3: Subarachnoidalblutung
Angiographisch negative Subarachnoidalblutung (nSAB). |
