Battyanyi B, Fazekas L Echokardiographie aktuell: "Lebensrettender" atrialer Septaldefekt Journal für Kardiologie - Austrian Journal of Cardiology 2016; 23 (3-4): 91-93 Volltext (PDF) Übersicht
| ||||||||||||||||
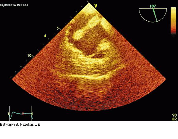
Abbildung 4: Thromboembolus Thromboembolus im rechten Vorhof (modifizierter bikavaler Schnitt). |
Film starten
Abbildung 4: Thromboembolus
Thromboembolus im rechten Vorhof (modifizierter bikavaler Schnitt). |
