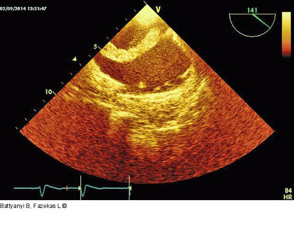
Abbildung 6: Thromboembolus Wie Abb. 5, jedoch aus einer weiter gedrehten Position. Gut zu sehen ist der homogene, gut geformte Abschnitt des Gerinnsels. |
Film starten
Abbildung 6: Thromboembolus
Wie Abb. 5, jedoch aus einer weiter gedrehten Position. Gut zu sehen ist der homogene, gut geformte Abschnitt des Gerinnsels. |
