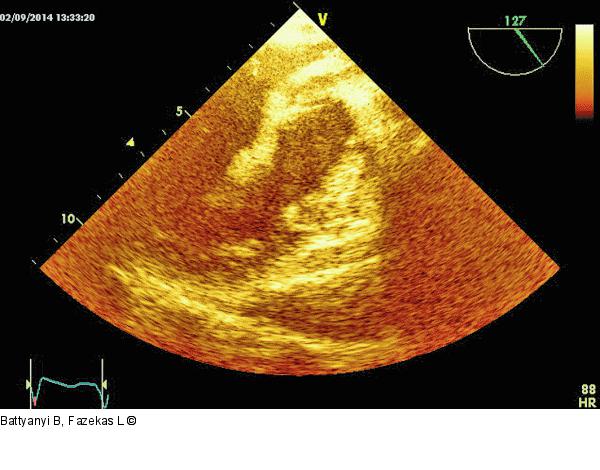
Abbildung 7: Thromboembolus Thromboembolus in der linken Herzhöhle. Im Gegensatz zu Abb. 6 ist dieser Thrombusteil schmaler, inhomogener. |
Film starten
Abbildung 7: Thromboembolus
Thromboembolus in der linken Herzhöhle. Im Gegensatz zu Abb. 6 ist dieser Thrombusteil schmaler, inhomogener. |
