Krause und Pachernegg
Verlag für Medizin und Wirtschaft
Artikel   Bilder   Volltext

Mobile Version
A-  |   A  |   A+
Werbung
 
Abbildungen mit Filmsequenzen
Battyanyi B, Fazekas L  
Echokardiographie aktuell: "Lebensrettender" atrialer Septaldefekt

Journal für Kardiologie - Austrian Journal of Cardiology 2016; 23 (3-4): 91-93

Volltext (PDF)    Abbildungen mit Filmsequenzen   


Abbildung
 
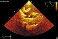
Echo
Abbildung 1: Echoreiche Massen in der linken und der (mäßig dilatierten) rechten Kammer.


Keywords: Echo

Film starten
 
 
Apikaler Vierkammerblick
Abbildung 2: Apikaler Vierkammerblick: Lange echoreiche, anscheinlich am Vorhofseptum fixierte Masse prolabiert in die rechte und (weniger sichtbar) in die linke Kammer.


Keywords: Apikaler Vierkammerblick

Film starten
 
 
Thromboemolus
Abbildung 3: Der "fixierte" Teil des Thromboembolus mit dem Durchschnitt vom rechten in den linken Vorhof.


Keywords: Thromboemolus

Film starten
 
 
Thromboembolus
Abbildung 4: Thromboembolus im rechten Vorhof (modifizierter bikavaler Schnitt).


Keywords: EchoThromboembolus

Film starten
 
 
Thromboembolus
Abbildung 5: Rechter Vorhof mit dem Thromboembolus und Klappe der inferioren Hohlvene.


Keywords: EchoThromboembolus

Film starten
 
 
Thromboembolus
Abbildung 6: Wie Abb. 5, jedoch aus einer weiter gedrehten Position. Gut zu sehen ist der homogene, gut geformte Abschnitt des Gerinnsels.


Keywords: EchoThromboembolus

Film starten
 
 
Thromboembolus
Abbildung 7: Thromboembolus in der linken Herzhöhle. Im Gegensatz zu Abb. 6 ist dieser Thrombusteil schmaler, inhomogener.


Keywords: EchoThromboembolus

Film starten
 
 
Thromboembolus
Abbildung 8: Thromboembolus in der Mitte der linken Kammer


Keywords: EchoThromboembolus

Film 1 starten
Film 2 starten
 
 
Thrombus
Abbildung 9: Chirurgisch entfernter Thrombus. Deutlich zu sehen sind die beiden Komponenten des Gerinnsels. (Mit freundlicher Genehmigung des Kardiologischen Herzchirurgischen Instituts der Med.-Univ. Debrecen, Ungarn).


Keywords: FotoOperationssitusThrombus

Film starten
 
 
 
copyright © 2000–2026 Krause & Pachernegg GmbH | Sitemap | Datenschutz | Impressum
 
Werbung