Schima W, Reinwald-Jaksche D, Bachleitner-Hofmann T, Regele H Aktuelle Bilder: Pseudomyxoma peritonei als Zufallsbefund bei einer Hernien-Operation Journal für Gastroenterologische und Hepatologische Erkrankungen 2015; 13 (4): 18-20 Volltext (PDF) Übersicht
| ||||||||||||
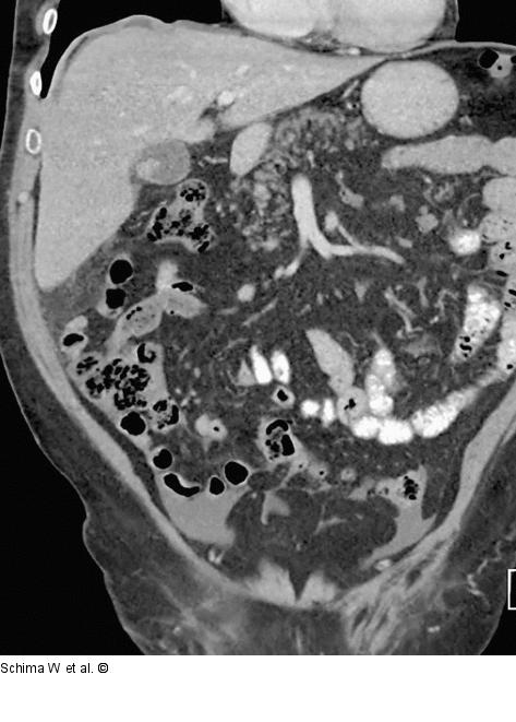
Abbildung 1: MDCT Die Kontrastmittel-verstärkte MDCT zeigt die zum Teil schalig wandverkalkte Mukozele der Appendix im rechten Unterbauch, welche von einer umschriebenen Flüssigkeitsansammlung (dem Pseudomyxoma) umgeben ist. Es zeigen sich auch noch weitere Retentionen im linken Unterbauch sowie perihepatisch-subphrenisch. |
Film starten
Abbildung 1: MDCT
Die Kontrastmittel-verstärkte MDCT zeigt die zum Teil schalig wandverkalkte Mukozele der Appendix im rechten Unterbauch, welche von einer umschriebenen Flüssigkeitsansammlung (dem Pseudomyxoma) umgeben ist. Es zeigen sich auch noch weitere Retentionen im linken Unterbauch sowie perihepatisch-subphrenisch. |
