Schima W, Reinwald-Jaksche D, Bachleitner-Hofmann T, Regele H Aktuelle Bilder: Pseudomyxoma peritonei als Zufallsbefund bei einer Hernien-Operation Journal für Gastroenterologische und Hepatologische Erkrankungen 2015; 13 (4): 18-20 Volltext (PDF) Übersicht
| ||||||||||||
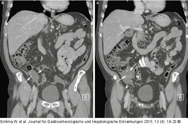
Abbildung 5b, c: MDCT Koronale Schichten der MDCT zeigen anschaulich die Mukozele der Appendix (Pfeile) und die abgekapselt imponierenden Flüssigkeitsansammlungen im Peritoneum (Pfeilspitzen). |
Abbildung 5b, c: MDCT
Koronale Schichten der MDCT zeigen anschaulich die Mukozele der Appendix (Pfeile) und die abgekapselt imponierenden Flüssigkeitsansammlungen im Peritoneum (Pfeilspitzen). |
