Schima W, Zacherl J Aktuelle Bilder: Pseudolipom der Glisson’schen Kapsel Journal für Gastroenterologische und Hepatologische Erkrankungen 2017; 15 (1): 20-22 Volltext (PDF) Übersicht
| ||||||||||||
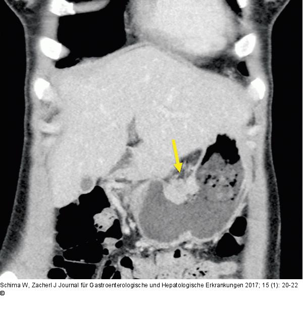
Abbildung 1a: Antrum-Karzinom Die coronale MDCT zeigt das wandüberschreitende Antrum-Karzinom (Stadium T3). |
Abbildung 1a: Antrum-Karzinom
Die coronale MDCT zeigt das wandüberschreitende Antrum-Karzinom (Stadium T3). |
