Schima W, Zacherl J Aktuelle Bilder: Pseudolipom der Glisson’schen Kapsel Journal für Gastroenterologische und Hepatologische Erkrankungen 2017; 15 (1): 20-22 Volltext (PDF) Übersicht
| ||||||||||||
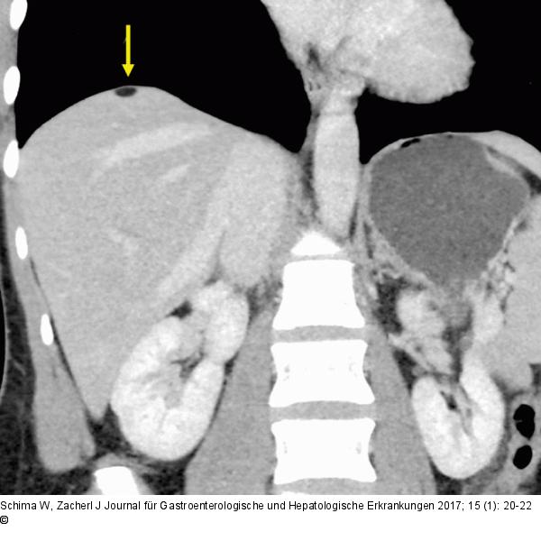
Abbildung 1c: Leberkapsel Die coronale CT-Rekonstruktion zeigt, dass die fetthältige Läsion nicht intraparenchymatös gelegen ist, sondern der Leberkapsel aufsitzt (Pfeil). |
Abbildung 1c: Leberkapsel
Die coronale CT-Rekonstruktion zeigt, dass die fetthältige Läsion nicht intraparenchymatös gelegen ist, sondern der Leberkapsel aufsitzt (Pfeil). |
