Schima W, Zacherl J Aktuelle Bilder: Pseudolipom der Glisson’schen Kapsel Journal für Gastroenterologische und Hepatologische Erkrankungen 2017; 15 (1): 20-22 Volltext (PDF) Übersicht
| ||||||||||||
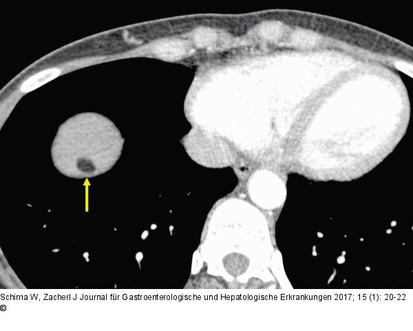
Abbildung 1b: Hypodense Raumforderung Die axiale Kontrastmittel-verstärkte MDCT zeigt eine hypodense Raumforderung in der rechten Leber unmittelbar subdiaphragmal. Die Dichtewerte betragen -84 HU, was typisch ist für Fett (eine flüssigkeitsgefüllte Zyste hätte eine Dichte von ca. 0 HU). |
Abbildung 1b: Hypodense Raumforderung
Die axiale Kontrastmittel-verstärkte MDCT zeigt eine hypodense Raumforderung in der rechten Leber unmittelbar subdiaphragmal. Die Dichtewerte betragen -84 HU, was typisch ist für Fett (eine flüssigkeitsgefüllte Zyste hätte eine Dichte von ca. 0 HU). |
