Schima W, Zacherl J Aktuelle Bilder: Pseudolipom der Glisson’schen Kapsel Journal für Gastroenterologische und Hepatologische Erkrankungen 2017; 15 (1): 20-22 Volltext (PDF) Übersicht
| ||||||||||||
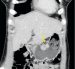
Filmsequenz zu Abbildung 1: Antrum-Karzinom Die MDCT-Rekonstruktion in koronaler Ebene zeigt das Wand-überschreitende Antrum-Karzinom und die fetthältige Läsion zwischen Leber und rechter Zwerchfellkuppe, dem Pseudolipom entsprechend. |
Filmsequenz zu Abbildung 1: Antrum-Karzinom Die MDCT-Rekonstruktion in koronaler Ebene zeigt das Wand-überschreitende Antrum-Karzinom und die fetthältige Läsion zwischen Leber und rechter Zwerchfellkuppe, dem Pseudolipom entsprechend. |
