Kerschner K Patient mit Ostiumstenose-Hauptstamm und Bifurkationsstenose - R. interventricularis anterior / R. diagonalis Journal für Kardiologie - Austrian Journal of Cardiology 2005; 12 (9-10): 252 Volltext (PDF) Fallbeschreibung Übersicht
| ||||||||||||||||||
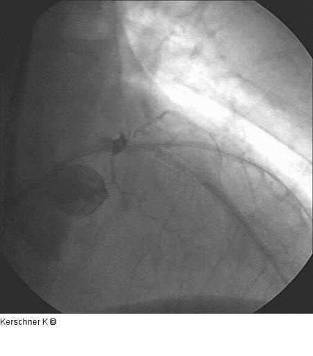
Abbildung 5: Vordilatation - Ergebnis Ergebnis nach Vordilatation. |
Film starten
Abbildung 5: Vordilatation - Ergebnis
Ergebnis nach Vordilatation. |
