Krause und Pachernegg
Verlag für Medizin und Wirtschaft
Artikel   Bilder   Volltext

Mobile Version
A-  |   A  |   A+
Werbung
 
Abbildungen mit Filmsequenzen
Kerschner K  
Patient mit Ostiumstenose-Hauptstamm und Bifurkationsstenose - R. interventricularis anterior / R. diagonalis

Journal für Kardiologie - Austrian Journal of Cardiology 2005; 12 (9-10): 252

Volltext (PDF)    Fallbeschreibung    Abbildungen mit Filmsequenzen   


Abbildung
 
OA Dr. Klaus Kerschner, I. Medizinische Abteilung, Allgemeines öffentliches Krankenhaus der Stadt Linz; A-4021 Linz
Abbildung 0


Keywords: Kardiologie
 
 
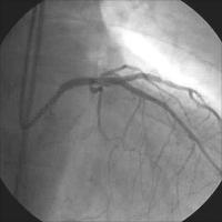
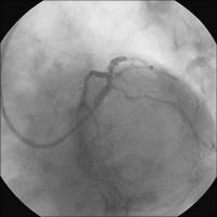
Linke Koronararterie RAO/Kranialprojektion
Abbildung 1: 50 % Ostiumstenose Hauptstamm, Bifurkationsstenose LAD – 1. diagonaler Ast (echte Bifurkationsstenose Typ IV ICPS- Klassifikation ), Y-konfigurierter Abgang des Seitenastes. Kollateralen zur verschlossenen RKA.


Keywords: BifurkationsstenoseKardiologieKoronarangiographieOstiumstenose

Film starten
 
 
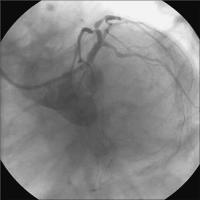
Linke Koronararterie LAO/Kaudalprojektion
Abbildung 2


Keywords: Arteria coronaria sinistraKardiologieKoronarangiographie

Film starten
 
 
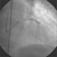
Sondierung - BMW-Führungsdraht
Abbildung 3: Sondierung beider Ästen mit je einem BMW-Führungsdraht (Guidant). Vordilatation des Ramus diagonalis mit einem 2,5 / 20 mm-Ballon (Hypro Pegaso, Sorin Biomedica) - 16 atm.


Keywords: KardiologieKoronarangiographieRamus diagonalis

Film starten
 
 
Vordilatation LAD
Abbildung 4: Vordilatation LAD mit 2,5/20-mm-Ballon - 16 atm.


Keywords: KardiologieKoronarangiographieVordilatation

Film starten
 
 
Vordilatation - Ergebnis
Abbildung 5: Ergebnis nach Vordilatation.


Keywords: KardiologieKoronarangiographieVordilatation

Film starten
 
 
Stentimplantation - LAD
Abbildung 6: Stentimplantation LAD / R. diagonalis in Crush-Technik. R. diagonalis Taxus Express 2 (Boston Scientific) 2,75 / 24 mm, 14 atm.


Keywords: Crush-TechnikKardiologieKoronarangiographieRamus diagonalisStent

Film starten
 
 
Stentimplantation - LAD
Abbildung 7: Stentimplantation LAD / R. diagonalis in Crush-Technik. LAD Taxus Express 2 - 3,0 / 28 mm, 14 atm.


Keywords: Crush-TechnikKardiologieKoronarangiographieRamus diagonalisStent

Film starten
 
 
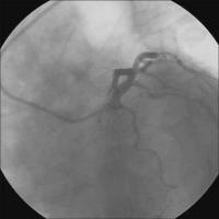
Ergebnis nach Crush
Abbildung 8: Ergebnis nach Crush - RAO/kranial


Keywords: Crush-TechnikKardiologieKoronarangiographie

Film starten
 
 
Ergebnis nach Crush
Abbildung 9: Ergebnis nach Crush - LAO / kaudal


Keywords: Crush-TechnikKardiologieKoronarangiographie

Film starten
 
 
Kissing-Ballon
Abbildung 10: Kissing Ballon R. diagonalis mit 2,5 / 15 mm Ballon und LAD 3,0 / 15 mm-Ballon mit jeweils 12 atm nach vorheriger isolierter Dilatation Abgang R. diagonalis mit 1,5- und 2,5-Ballon mit 20 atm.


Keywords: KardiologieKoronarangiographieRamus diagonalis

Film starten
 
 
Primäre Stentimplantation - Ostiumhauptstamm
Abbildung 11: Primäre Stentimplantation - Ostiumhauptstamm, Taxus Express 2 - 3,5/8 mm mit 16 atm.


Keywords: KardiologieKoronarangiographieStent

Film starten
 
 
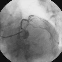
Endergebnis RAO/kranial
Abbildung 12


Keywords: KardiologieKoronarangiographie

Film starten
 
 
Endergebnis LAO/kaudal
Abbildung 13


Keywords: KardiologieKoronarangiographie

Film starten
 
 
Kontrollangiographie
Abbildung 14: Kontrollangiographie nach 3 Monaten - RAO/kranial


Keywords: KardiologieKoronarangiographie

Film starten
 
 
Kontrollangiographie
Abbildung 15: Kontrollangiographie nach 3 Monaten - LAO/kaudal.


Keywords: KardiologieKoronarangiographie

Film starten
 
 
 
copyright © 2000–2026 Krause & Pachernegg GmbH | Sitemap | Datenschutz | Impressum
 
Werbung