Kerschner K Patient mit Ostiumstenose-Hauptstamm und Bifurkationsstenose - R. interventricularis anterior / R. diagonalis Journal für Kardiologie - Austrian Journal of Cardiology 2005; 12 (9-10): 252 Volltext (PDF) Fallbeschreibung Übersicht
| ||||||||||||||||||
Abbildung 6: Stentimplantation - LAD Stentimplantation LAD / R. diagonalis in Crush-Technik. R. diagonalis Taxus Express 2 (Boston Scientific) 2,75 / 24 mm, 14 atm. |
Film starten
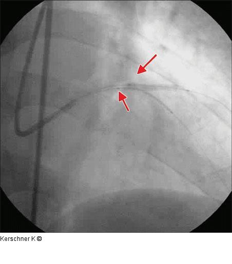
Abbildung 6: Stentimplantation - LAD
Stentimplantation LAD / R. diagonalis in Crush-Technik. R. diagonalis Taxus Express 2 (Boston Scientific) 2,75 / 24 mm, 14 atm. |
