Verlag für Medizin und Wirtschaft
Artikel
Bilder
Volltext
Mobile Version
A-
|
A
|
A+
Werbung
Abo
Bestellung Jahresabonnement (Print/elektronisch)
Bestellung kostenloses e-Journal-Abo
Mediadaten
Journale
News
Datenbanken
Suche Medizinische Publikationen
Suche Abbildungen und Grafiken
Medizinprodukte - Labortechnik
Antidotarium (Stand 2012)
Phytokodex (Stand 2012)
Fortbildung
Bücher
Fachbücher
Patientenliteratur
Impressum
Offenlegung
Kontakt
Disclaimers & Copyright
Allgemeine Geschäftsbedingungen
Datenschutzerklärung
Sitemap
Battyanyi B, Fazekas L
Echokardiographie aktuell: "Lebensrettender" atrialer Septaldefekt
Journal für Kardiologie - Austrian Journal of Cardiology 2016; 23 (3-4)
: 91-93
Volltext (PDF)
Übersicht
Film
Film
Film
Film
Film
Film
Film 1
Film 2
Film
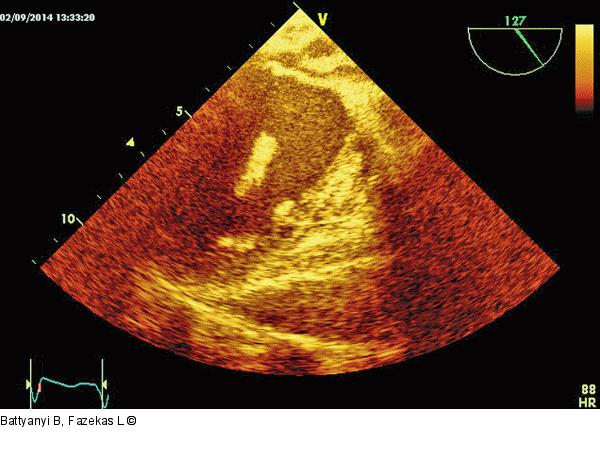
Abbildung 8: Thromboembolus
Thromboembolus in der Mitte der linken Kammer
Film 1 starten
Film 2 starten
Vorheriges Bild
Nächstes Bild
Abbildung 8: Thromboembolus
Thromboembolus in der Mitte der linken Kammer
copyright © 2000–2026
Krause & Pachernegg GmbH
|
Sitemap
|
Datenschutz
|
Impressum
Werbung