Krause und Pachernegg
Verlag für Medizin und Wirtschaft
Artikel   Bilder   Volltext

Mobile Version
A-  |   A  |   A+
Werbung
 
Abbildungen und Graphiken
Popper H  
DFP/CME: Die E-Zigarette, die Alternative zum Zigarettenrauchen? // E-cigarette as alternative to cigarette smoking

Journal für Pneumologie 2021; 9 (1): 5-9

DFP/CME-Akademie der Ärzte
DFP/CME-Akademie der Ärzte
Volltext (PDF)    Summary    Abbildungen   


Abbildung
 
E-Zigarette
Abbildung 1: Aufbau der E-Zigarette: Batterie, Atomisierer, Flüssigkeitsreservoir mit Flüssigkeit; die vierte Generation der E-Zigarette (Pod oder Pod-Mods) hat eine Temperaturkontrolle, einstellbare Stromstärke und einen elektrischen Widerstand, wodurch das erzeugte Aerosol variabel eingestellt werden kann. Der Hub über das Mundstück aktiviert einen Airflow-Sensor, der ein Erhitzen des Atomizers induziert, gefolgt von der Erzeugung eines Aerosols. Einige Typen haben einen Schalter für Batterie und Atomizer.


Keywords: E-ZigarettenFoto
 
 
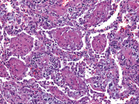
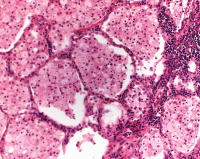
DAD - EVALI
Abbildung 2: Diffuse Alveolenzerstörung (DAD) bei einem Patienten, der durch EVALI gestorben ist (H & E, Bar 20 μm).


Keywords: DADEVALIHistologisches Präparat
 
 
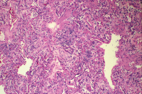
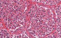
DAD - EVALI
Abbildung 3: Organisierende Pneumonie nach DAD – der Patient hat nach einer Therapie auf einer Intensivstation überlebt (H & E, X 200).


Keywords: DADEVALIHistologisches Präparat
 
 
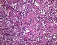
Lipidpneumonie - EVALI
Abbildung 4: Lipidpneumonie bei EVALI, transbronchiale Biopsie (H & E, X 400)


Keywords: EVALIHistologisches PräparatLipidpneumonie
 
 
AFOP
Abbildung 5: Akut fibrinöse und organisierende Pneumonie (AFOP), eine Form der akuten Pneumonie (H & E, X 200)


Keywords: AFOPHistologisches Präparat
 
 
Eosinophilenpneumonie
Abbildung 6: Eosinophilenpneumonie, einer der seltenen Befunde bei EVALI (H & E, X 400)


Keywords: eosinophile PneumonieHistologisches Präparat
 
 
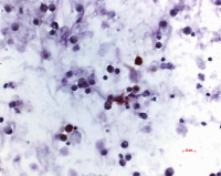
BAL - Lipidpneumonie
Abbildung 7: BAL mit Lipophagen als Hinweis auf Lipidpneumonie (H & E, Bar 20 μm)


Keywords: Histologisches PräparatLipidpneumonie
 
 
 
copyright © 2000–2026 Krause & Pachernegg GmbH | Sitemap | Datenschutz | Impressum
 
Werbung