Popper H DFP/CME: Die E-Zigarette, die Alternative zum Zigarettenrauchen? // E-cigarette as alternative to cigarette smoking Journal für Pneumologie 2021; 9 (1): 5-9
DFP/CME-Akademie der Ärzte Volltext (PDF) Summary Übersicht | ||||||||||||||||
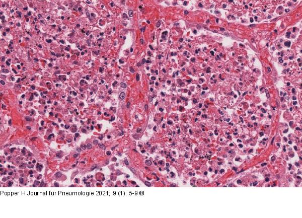
Abbildung 6: Eosinophilenpneumonie Eosinophilenpneumonie, einer der seltenen Befunde bei EVALI (H & E, X 400) |
Abbildung 6: Eosinophilenpneumonie
Eosinophilenpneumonie, einer der seltenen Befunde bei EVALI (H & E, X 400) |

