Popper H DFP/CME: Die E-Zigarette, die Alternative zum Zigarettenrauchen? // E-cigarette as alternative to cigarette smoking Journal für Pneumologie 2021; 9 (1): 5-9
DFP/CME-Akademie der Ärzte Volltext (PDF) Summary Übersicht | ||||||||||||||||
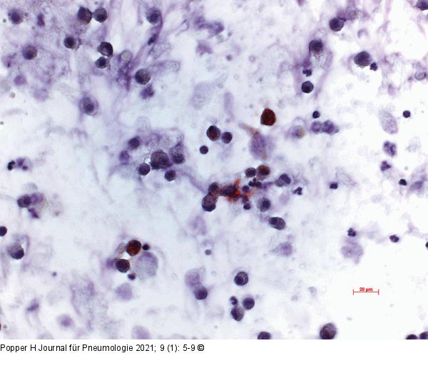
Abbildung 7: BAL - Lipidpneumonie BAL mit Lipophagen als Hinweis auf Lipidpneumonie (H & E, Bar 20 μm) |
Abbildung 7: BAL - Lipidpneumonie
BAL mit Lipophagen als Hinweis auf Lipidpneumonie (H & E, Bar 20 μm) |

